中国日报网
用户名 密码 注册
中国日报
中国在线> 社会

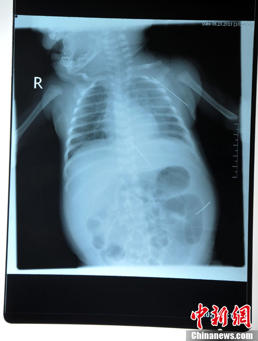
黑龙江被“缝衣针”扎伤女婴手术成功

2013-08-23 20:15:36 来源:中新网
打印文章   发送给我好友

黑龙江被“缝衣针”扎伤女婴手术成功

  8月23日,黑龙江被“缝衣针”扎伤女婴在哈尔滨医科大学附属第一医院进行手术,成功取出三根长达4.5厘米的缝衣针,目前患儿正在术后观察中,尚未脱离危险期。图为三根钢针在婴儿体内的各个位置。(哈尔滨医大一院供图)中新社发

编辑: 许银娟 标签: 缝衣针 女婴 手术 扎伤 黑龙江